![]() |
|||||
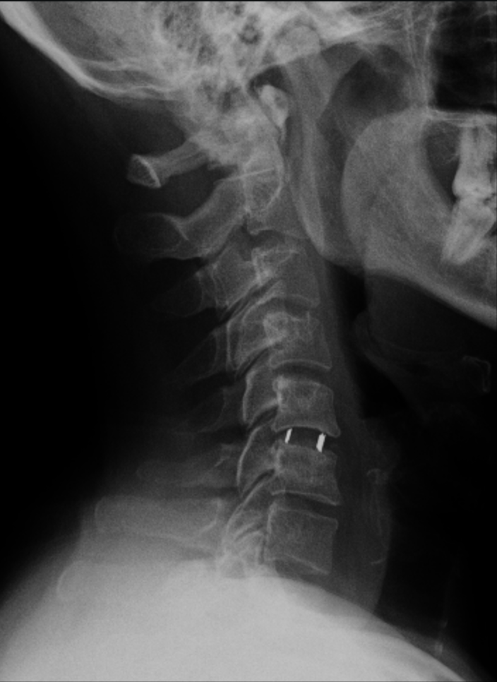
En C5-C6 cambios degenerativos con complejo disco osteofitario que condiciona estenosis moderada del canal raquídeo cervical, apreciando signos de mielopatía compresiva. Estenosis foraminal bilateral moderada en C5-C6 e izquierda leve en C6-C7 |
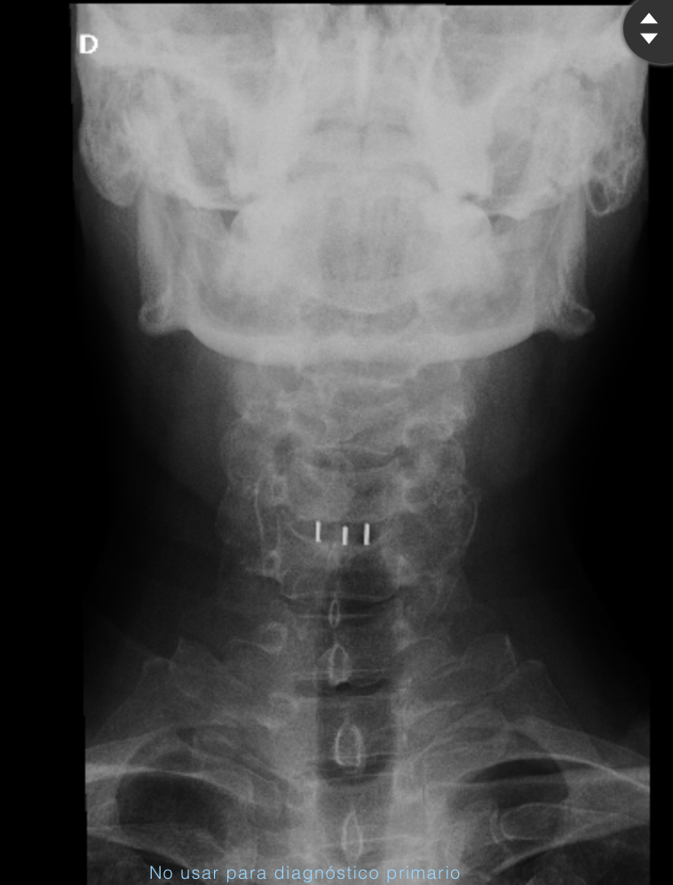
Se aprecia la prótesis de disco colocada entre C5 y C6 | ||||
![]() |
|||||
![]() |
|||||
![]() |
|||||
