 |
|
|
|
|
|
|
|
|
|
 |
|
|
|
|
|
|
Colectomía total en una neo de colon oclusiva con valvula ileocecal competente |
|
|
|
|
|
|
|
|
|
|
|
Paciente con clínica de apendicitis. En la ecografía se detecta imagen compatible con espina alojada en ileon terminal. Se corrobora con exploración TAC. |
|
|
|
|
| |
|
|
|
|
|
 |
|
|
 |
 |
|
|
| Preparando la perfusión de un hígado |
Víscera preparada |
Equipo de perfusión |
Monitorización durante el trasplante |
|
|
|
|
|
|
|
|
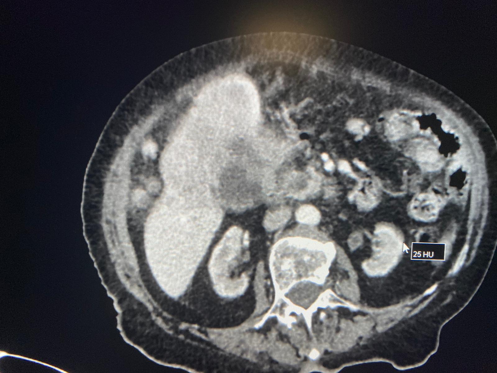
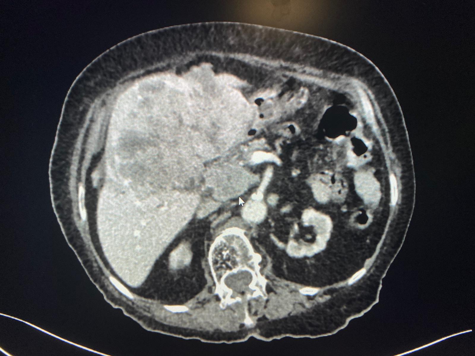
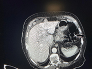
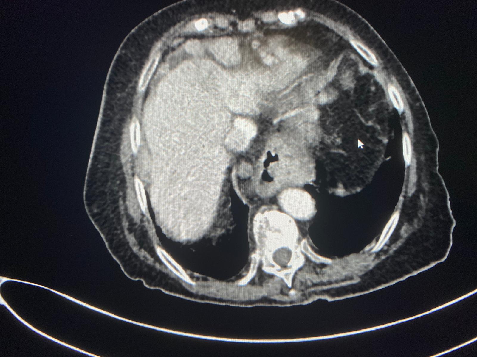
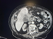
| Llaman por sospecha de colecisitis en mujer de 95 años. Se hace el TC y vemos una gran masa heterogènea hepática, que condiciona dilatación de via biliar intra y extra, junto con múltiples implantes perihepàticos, periportales, periesofágicos, intrapelvicos… Se sospecha de colangiocarcinoma, menos probable hepatocarcinoma. |
|
|
 |
|
|
|
|
|
|
|
|
|
|
|
|
| |
|
|
|
|
|
| |
|
|
|
|
|
 |
| |
|
|
|
|
|
| |
|
|
|
|
|
| |
|
|
|
|
|